
Fig. 3: Analysis of 2D MALDI FT-ICR MSI dataset of PDX mouse brain model of glioblastoma.
a Distribution of optimization convergence, and b Overlay of the mean spectrum of both TIC-normalized original (green) and predicted (red) data with an overall mean squared error of
. c The clustered image of the encoded features (d) using GMM (k = 8) reveals biologically interesting tissue types, such as: normal tissue (cluster#1), tumor heterogeneity (cluster#2 and cluster#8) and a rim around the tumor (cluster#4). e Spatial distribution of a few biologically interesting m/z ions that were found highly colocalized within the clusters of interest, and there is a close similarity between the predicted and measured m/z ions.

Mitamura, Yasutaka et al. “Spatial transcriptomics combined with single-cell RNA-sequencing unravels the complex inflammatory cell network in atopic dermatitis.” Allergy vol. 78,8 (2023): 2215-2231. doi:10.1111/all.15781
Atopic dermatitis (AD) is the most common chronic inflammatory skin disease with complex pathogenesis. Using spatial and single-cell transcriptomics of whole skin biopsy and suction blister material, we investigated the cellular and molecular features of the leukocyte-infiltrated area in AD. We identified unique clusters of fibroblasts, dendritic cells, macrophages, and T cells in the lesional AD skin and molecular interactions between these cells. The leukocyte-infiltrated areas in lesional AD skin showed upregulation of COL6A5, COL4A1, TNC, IL32, CCL19 in COL18A1-expressing fibroblasts. Additionally, M2 macrophages expressed CCL13 and CCL18 in the same localization. Ligand–receptor interaction analysis of the spatial transcriptome identified a neighboring infiltration and interaction between activated COL18A1-expressing fibroblasts, activated CCL13- and CCL18-expressing M2 macrophages, CCR7- and LAMP3-expressing DCs, and T cells. As observed in skin lesions, serum levels of TNC and CCL18 were significantly elevated in AD and correlated with clinical disease severity.

Rizvi, A., Camara, P., Kandror, E. et al. Single-cell topological RNA-seq analysis reveals insights into cellular differentiation and development. Nat Biotechnol 35, 551–560 (2017). https://doi.org/10.1038/nbt.3854
Figure 4 Cellular populations during motor neuron differentiation. (a) scTDA identifies four transient populations in mESC differentiation into MNs. Represented is the topological representation (colored by mRNA levels) of four groups of low-dispersion genes: pluripotent, precursor, progenitor, and postmitotic populations. In total, 488 genes were assigned to one of these four populations based on their expression profiles in the topological representation. TPM, transcripts per million. (b) Reconstructed expression timeline for each of the four groups of low-dispersion genes. (c) Validation by detection of state-specific cell-surface markers identified by scTDA. Left, topological representation (colored by mRNA levels) of surface proteins Pecam1, Ednrb, and Slc10a4; right, immunostaining of cultured EBs. Scale bar, 50 μm. Details of three regions are presented at the far right. For reference, the topological representation colored by mRNA levels of the Mnx1-eGFP reporter is also shown. (d) In vivo validation of the motor neuron surface marker Slc10a4. Spinal cord section from an E9.5 mouse immunostained for Slc10a4 (red). The pool of motor neurons is also marked by
Mnx1-eGFP expression (green). Scale bar, 50 μm.

Rizvi, A., Camara, P., Kandror, E. et al. Single-cell topological RNA-seq analysis reveals insights into cellular differentiation and development. Nat Biotechnol 35, 551–560 (2017). https://doi.org/10.1038/nbt.3854
Figure 6 scTDA analysis of mouse and human developmental data sets. (a) Topological representation of 80 embryonic (E18.5) mouse lung epithelial cells35 labeled according to cell type. scTDA resolves the alveolar and bronchiolar lineages that were originally identified using PCA, and identifies a putative set of cells with low NADH dehydrogenase expression that were not identified in the original analysis. (b) Topological representation of 1,529 individual cells from 88 human pre-implantation embryos36. Top left and bottom: topological representation (labeled by expression levels of genes) associated with cellular populations identified during differentiation. scTDA resolved, without supervision, the segregation of the trophectoderm and inner-cell mass from prelineage cells (bottom) as well as a polar trophectoderm (top left) that were originally identified using a supervised analysis based on PCA and k-medoid clustering. Top right: topological representation labeled by embryonic day. (c) Topological representation of 272 newborn neurons from the mouse neocortex37 labeled by sampling time after mitosis (top) and expression levels of Cntr2, Neurog2, and Wwtr1 (bottom). scTDA recapitulated the converging developmental relations between apical and basal progenitors and neurons that were originally identified using hierarchical clustering and additionally found lineage convergence.

Single-cell mapping of gene expression landscapes and lineage in the zebrafish embryo. Wagner DE, Weinreb C, Collins ZM, Briggs JA, Megason SG, Klein AM. Science 26 Apr 2018. doi:10.1126/science.aar4362
Fig. 2. Single-cell graph reveals a continuous developmental landscape of cell states. (A) Overview of graph construction strategy, and a force-directed layout of the resulting single-cell graph (nodes colored by collection timepoint). For each cell, up to 20 within- or between-timepoint mutual nearest neighbor edges are retained. (B) Single-cell graph, colored by germ layer identities inferred from differentially expressed marker genes (see table S2). (C) Single-cell graphs, colored by log10 expression counts for indicated cell type-specific marker genes.

VeTra: a tool for trajectory inference based on RNA
velocity
Fig. 1. VeTra reconstructs single-cell trajectories for multiple cell lineages. (A) A 2D
embedding plot using the scRNAseq for pancreatic development. (B) Cosine similarity
to search for the neighboring cells with similar direction. cos1 finds the vectors
with similar direction and cos2 identifies the cell to transit from a cell. (C) The
directed graph obtained by applying cosine similarity. (D) The WCCs obtained
using all possible paths. (E) The grouped WCCs using a hierarchical clustering algorithm.
(F) The pseudo-time for each lineage identified by VeTra

PICRUSt-workflow
Figure 1 The PICRUSt workflow. PICRUSt is composed of two high-level workflows: gene content inference (top box) and metagenome inference (bottom box). Beginning with a reference OTU tree and a gene content table (i.e., counts of genes for reference OTUs with known gene content), the gene content inference workflow predicts gene content for each OTU with unknown gene content, including predictions of marker gene copy number. This information is precomputed for 16S based on Greengenes29 and IMG26, but all functionality is accessible in PICRUSt for use with other marker genes and reference genomes. The metagenome inference workflow takes an OTU table (i.e., counts of OTUs on a per sample basis), where OTU identifiers correspond to tips in the reference OTU tree, as well as the copy number of the marker gene in each OTU and the gene content of each OTU (as generated by the gene content inference workflow), and outputs a metagenome table (i.e., counts of gene families on a per-sample basis).
Langille, M., Zaneveld, J., Caporaso, J. et al. Predictive functional profiling of microbial communities using 16S rRNA marker gene sequences. Nat Biotechnol 31, 814–821 (2013). https://doi.org/10.1038/nbt.2676

Figure 5
Figure 5 PICRUSt prediction accuracy across the tree of bacterial and archaeal genomes. Phylogenetic tree produced by pruning the Greengenes 16S reference tree down to those tips representing sequenced genomes. Height of the bars in the outermost circle indicates the accuracy of PICRUSt for each genome (accuracy: 0.5–1.0) colored by phylum, with text labels for each genus with at least 15 strains. PICRUSt predictions were as accurate for archaeal (mean = 0.94 ± 0.04 s.d., n = 103) as for bacterial genomes (mean = 0.95 ± 0.05 s.d., n = 2,487).
Langille, M., Zaneveld, J., Caporaso, J. et al. Predictive functional profiling of microbial communities using 16S rRNA marker gene sequences. Nat Biotechnol 31, 814–821 (2013). https://doi.org/10.1038/nbt.2676

Single-Cell Map of Diverse Immune Phenotypes in the Breast Tumor Microenvironment
(A) t-SNE map projecting myeloid cells from BC1-8 patients (all tissues). Cells are colored by Biscuit cluster and cell types are labeled based on bulk RNA-seq correlation-based annotations.
(B–E) Projection of myeloid cells on macrophage activation, pDC, and monocyte activation diffusion components, colored by cluster (B), tissue (C), cell type (D), and expression of example lineage-demarcating genes (E).
(F) Violin plots showing the density of cells along macrophage activation component and organized by overall density (left panel), tissue type (middle panel), and cluster (right panel). See Figure S7 for other components.
(G) Scatterplot of normalized mean expression of M1 and M2 signatures per cell (dot); cells assigned to TAM clusters have been highlighted by cluster.
(H) Scatterplot of mean expression of MARCO and CD276 in myeloid clusters; each dot represents a cluster; TAM clusters are marked in red, indicating high expression of both markers in macrophage clusters.
(I) Distribution of covariance between MARCO and CD276 across all myeloid clusters. TAM clusters are marked in red and present substantial outliers. See Figure S7F for similar computation on the raw, un-normalized data, verifying the result.
(J) Heatmaps showing covariance patterns of select macrophage marker genes in 3 TAM clusters.
Azizi E, Carr AJ, Plitas G, Cornish AE, Konopacki C, Prabhakaran S, Nainys J, Wu K, Kiseliovas V, Setty M, Choi K, Fromme RM, Dao P, McKenney PT, Wasti RC, Kadaveru K, Mazutis L, Rudensky AY, Pe'er D. Single-Cell Map of Diverse Immune Phenotypes in the Breast Tumor Microenvironment. Cell. 2018 Aug 23;174(5):1293-1308.e36. doi: 10.1016/j.cell.2018.05.060. Epub 2018 Jun 28. PMID: 29961579; PMCID: PMC6348010.

Extended Data Fig. 1: Antibody panel and example pseudocoloured images of markers.
Antigens targeted by the antibodies in the panel of 35 isotope-conjugated antibodies that was used to stain the breast cancer tissue, and representative marker images from the analysed cohort generated by IMC. Every marker is visualized at least once. Each image represents a different tumour of the analysed cohort. Each marker was individually scaled to enable visualization. RTK, receptor tyrosine kinase; EMT, epithelial–mesenchymal transition; TF, transcription factor. Scale bars,100 μm.
Jackson HW, Fischer JR, Zanotelli VRT, Ali HR, Mechera R, Soysal SD, Moch H, Muenst S, Varga Z, Weber WP, Bodenmiller B. The single-cell pathology landscape of breast cancer. Nature. 2020 Feb;578(7796):615-620. doi: 10.1038/s41586-019-1876-x. Epub 2020 Jan 20. PMID: 31959985.

Fig. 1 | Single-cell phenotypes in high-dimensional histopathology of breast
cancer.
a, Schematic of IMC acquisition of multiplexed images from 281 patients with breast cancer and the analyses of single-cell phenotypes, metaclusters, stromal-cell organization and architecture, tumour and patient subclassification and patient overall survival. b, Map using t-distributed stochastic neighbour embedding (t-SNE) of 171,288 subsampled single cells from high-dimensional images of breast tumours coloured by cell-type metacluster identifier. c, Heat map showing the z-scored mean marker expression or distance to tumour–stroma interface for each PhenoGraph cluster, coloured by metacluster identifier. The absolute cell counts of each PhenoGraph cluster are displayed as a bar plot (left). In the bubble plot, circle size shows the relative proportion of all cells in a clinical subtype that come from each cluster, and circle opacity shows the proportion of each cluster that is present in the different clinical subtypes.
Jackson HW, Fischer JR, Zanotelli VRT, Ali HR, Mechera R, Soysal SD, Moch H, Muenst S, Varga Z, Weber WP, Bodenmiller B. The single-cell pathology landscape of breast cancer. Nature. 2020 Feb;578(7796):615-620. doi: 10.1038/s41586-019-1876-x. Epub 2020 Jan 20. PMID: 31959985.

Fig. 1 | Interpretable biologically informed deep learning.
P-NET is a neural network architecture that encodes different biological entities into a neural network language with customized connections between consecutive layers (that is, features from patient profile, genes, pathways, biological processes and outcome). In this study, we focus primarily on processing mutations and copy-number alterations. The trained P-NET provides a relative ranking of nodes in each layer to inform generation of biological hypotheses. Solid lines show the flow of information from the inputs to generate the outcome and dashed lines show the direction of calculating the importance score of different nodes. Candidate genes are validated to understand their function and mechanism of action.
Elmarakeby, H.A., Hwang, J., Arafeh, R. et al. Biologically informed deep neural network for prostate cancer discovery. Nature (2021). https://doi.org/10.1038/s41586-021-03922-4

lena
I think it is safe to assume that the Lena image became a standard in our "industry" for two reasons. First, the image contains a nice mixture of detail, flat regions, shading, and texture that do a good job of testing various image processing algorithms. It is a good test image! Second, the Lena image is a picture of an attractive woman. It is not surprising that the (mostly male) image processing research community gravitated toward an image that they found attractive.
A Note on Lena. IEEE TRANSACTIONS ON IMAGE PROCESSING. VOL. 5. NO. 1. JANUARY 1996.
image source: http://lenna.org/

Data-Driven Phenotypic Dissection of AML Reveals Progenitor-like Cells that Correlate with Prognosis
Figure S5. Identifying Primitive AML Subpopulations by Surface and Signaling Phenotypes, Related to Figure 6
(A) Detailed features of subpopulations displaying primitive and mature signaling phenotypes for each sample. (B) Canonical variates analysis demonstrating the
linear separability of IFPCs from non-IFPCs across the entire dataset on the basis of 224 signaling features (left) or on the basis of only the 5 most important
features (right) as determined by this analysis
Levine, J. H., Simonds, E. F., Bendall, S. C., Davis, K. L., Amir, E. D., Tadmor, M. D., … Nolan, G. P. (2015). Data-Driven Phenotypic Dissection of AML Reveals Progenitor-like Cells that Correlate with Prognosis. Cell, 162(1), 184–197. doi:10.1016/j.cell.2015.05.047

pxocgx01_blastx against multiple related xanthomonas species
Niu, X.-N., et al. (2015). "Complete sequence and detailed analysis of the first indigenous plasmid from Xanthomonas oryzae pv. oryzicola." BMC Microbiol 15(1): 1-15. DOI: 10.1186/s12866-015-0562-x
Bacterial plasmids have a major impact on metabolic function and adaptation of their hosts. An indigenous plasmid was identified in a Chinese isolate (GX01) of the invasive phytopathogen Xanthomonas oryzae pv. oryzicola (Xoc), the causal agent of rice bacterial leaf streak (BLS). To elucidate the biological functions of the plasmid, we have sequenced and comprehensively annotated the plasmid.

HR2MSI mouse urinary bladder S096 - spatial regions
The spatial regions that detected via the UMAP manifold data embedding. the pixels region is cluster via DBSCAN algorithm. and re-shape the spatial regions via contour tracing algorithm.
Römpp A, Guenther S, Schober Y, Schulz O, Takats Z, Kummer W, Spengler B; Histology by mass spectrometry: label-free tissue characterization obtained from high-accuracy bioanalytical imaging., Angew Chem Int Ed Engl, 2010 May 17, 49, 22, 3834-8, , PubMed: 20397170

What is flux balance analysis?
Figure 2 Formulation of an FBA problem. (a) A
metabolic network reconstruction consists of a
list of stoichiometrically balanced biochemical
reactions. (b) This reconstruction is converted into a
mathematical model by forming a matrix (labeled S),
in which each row represents a metabolite and each
column represents a reaction. Growth is incorporated
into the reconstruction with a biomass reaction
(yellow column), which simulates metabolites
consumed during biomass production. Exchange
reactions (green columns) are used to represent the
flow of metabolites, such as glucose and oxygen,
in and out of the cell. (c) At steady state, the flux
through each reaction is given by Sv = 0, which
defines a system of linear equations. As large
models contain more reactions than metabolites,
there is more than one possible solution to these
equations. (d) Solving the equations to predict the
maximum growth rate requires defining an objective
function Z = cTv (c is a vector of weights indicating
how much each reaction (v) contributes to the
objective). In practice, when only one reaction, such
as biomass production, is desired for maximization
or minimization, c is a vector of zeros with a value
of 1 at the position of the reaction of interest. In the
growth example, the objective function is Z = vbiomass
(that is, c has a value of 1 at the position of the
biomass reaction). (e) Linear programming is used
to identify a flux distribution that maximizes or
minimizes the objective function within the space
of allowable fluxes (blue region) defined by the
constraints imposed by the mass balance equations
and reaction bounds. The thick red arrow indicates
the direction of increasing Z. As the optimal solution
point lies as far in this direction as possible, the thin
red arrows depict the process of linear programming,
which identifies an optimal point at an edge or
corner of the solution space.
Orth JD, Thiele I, Palsson BØ. What is flux balance analysis? Nat Biotechnol. 2010 Mar;28(3):245-8. doi: 10.1038/nbt.1614. PMID: 20212490; PMCID: PMC3108565.

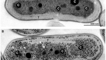
Electron micrographs of Synechococcus
Ultrastructural comparison of Synechococcus strains.
Electron micrographs of (A) Synechococcus UTEX 2973 and (B) Synechococcus PCC 7942 grown in 3% CO2. Labeled are carboxysomes (C) and thylakoid membranes (T). White arrowheads point to the numerous electron-dense bodies. Bar = 500 nm.
Yu, J., Liberton, M., Cliften, P. et al. Synechococcus elongatus UTEX 2973, a fast growing cyanobacterial chassis for biosynthesis using light and CO2. Sci Rep 5, 8132 (2015). https://doi.org/10.1038/srep08132

